Skip to main content
GangnamDoctor
Community

Procedure Reviews

5,874 real reviews from actual patients

Write Review
Uverse Plastic Surgery Clinic
I was also completely surprised by the difference in the before and after photos, haha

I had surgery with Dr. Seo Seung-jo, and this is a photo taken 8 days after the surgery. I wanted a natural yet glamorou

Hush Plastic Surgery
[Gangnam Unnie] My shoulder line looks more defined when I wear clothes, and the volume is naturally alive, so I'm very satisfied.

[Gangnam Unnie] My shoulder line looks more defined when I wear clothes, and the volume is naturally alive, so I'm very

Nana Plastic Surgery
[Skin] Zzzzzzz - Shrink, Contouring Toxin

I got a 300-shot Shrink lifting and contouring toxin injection with a soothing mask at Nana Plastic Surgery! It was my f

Very Good Plastic Surgery
I'm So Satisfied with My First Eye Surgery, Ptosis Correction, Epicanthoplasty, Dual Canthoplasty, Nasal Bridge, Nasal Tip, and Hump Removal

My asymmetrical eyes were so severe that I always wore double eyelid tape on one side, and it was so droopy and botherso

Thank You Plastic Surgery Clinic
Thank you, Director ^^~

I had severe drooping eyelids and bulging under my eyes, which made me look much older and my eyes looked listless even

Uverse Plastic Surgery Clinic
The consultation was so good because there was no pressure to pay a deposit on the same day!

I had nose surgery with Dr. Shim Jung-hwan at Webers Plastic Surgery! I'm writing a review a month and a half after the

Hush Plastic Surgery
[Gangnam Unnie] I was worried about blemishes on my cheeks, so I decided to get the procedure.

[Gangnam Unnie] I was worried about blemishes on my cheeks, so I decided to get the procedure. 2025-07-13 hit.79 Before

Nana Plastic Surgery
[Eyes] Yenieyen1017 - Double Eyelid Surgery

It's been almost a month and three weeks since the surgery! The double eyelids are set quite high, so there is a bit of

Very Good Plastic Surgery
I Had Eye, Nose, and Facial Contouring Surgery at Very Good. Leaving a Review~~~!!

It's already been three months... I don't have any discomfort, so I'm just living my life these days. It feels like it w

Thank You Plastic Surgery Clinic
I'm satisfied with just raising the tip of my nose!

I was so stressed because of my dorsal hump, so I had rhinoplasty at the end of the year! I didn't look pretty when my n

Uverse Plastic Surgery Clinic
The line is similar, so I'm very satisfied!!

My double eyelids were forming very unevenly and in multiple layers, so I was very stressed and 고민 for 2 years before ha

Hush Plastic Surgery
[Gangnam Unnie] Dr. Kim Min-seok gave me a detailed consultation and meticulously administered the shots... the best ㅠㅠ

[Gangnam Unnie] Dr. Kim Min-seok gave me a detailed consultation and meticulously administered the shots... the best ㅠㅠ

Nana Plastic Surgery
[Petite] hunnie8894 - Lip Filler

I got lip filler at Nana Plastic Surgery Clinic, and the corners of my lips immediately lifted and I became prettier, so

Very Good Plastic Surgery
It's been a month since my surgery. I got it after seeing the Berry Good First Eye event.

I already had double eyelids, but they would often come undone depending on my condition, so I was looking for non-incis

Thank You Plastic Surgery Clinic
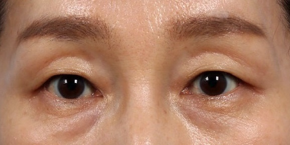
Escape from Panda Eyes~!

Whenever I took pictures, shadows were cast under my eyes, and it felt like my under-eye area was sagging even more as t

Uverse Plastic Surgery Clinic
I didn't expect anything, but I liked it because the side profile came out well

I was so stressed about my bulbous nose that I had been 고민 about it for a long time and finally had it done at Webers! I

Hush Plastic Surgery
[Gangnam Unnie] Doesn't it look like my double chin is gone a lot??

[Gangnam Unnie] Doesn't it look like my double chin is gone a lot?? 2025-07-13 hit.123 Before Procedure After Procedure

Nana Plastic Surgery
[Eyes] 01ektha - Eyes

This is my 1-month DES review. I had incisional ptosis correction and medial epicanthoplasty. I had been using double ey

Very Good Plastic Surgery
For those of you considering double eyelid surgery, definitely do it!

I had natural adhesion double eyelid surgery at Berry Good Plastic Surgery through Dr. Kim Jun-hyun. My eyes were origin

Thank You Plastic Surgery Clinic
I only think of the directors who did my revision eye surgery and rhinoplasty whenever I see my face

It's been 8 months since my natural adhesion revision eye surgery, no implant rhinoplasty, forehead lift, and Ultherapy

Uverse Plastic Surgery Clinic
I love how my nose line looks in photos!

It's been 2 weeks to a month since my rhinoplasty! I was really stressed because a dorsal hump couldn't be covered with

Chat with Expert
GangnamDoctor AI

Your Korean Plastic Surgery Expert

Welcome to GangnamDoctor AI

Hi! I'm your personal assistant for Korean plastic surgery. Ask me anything about procedures, top clinics in Gangnam, pricing, recovery times, or how to plan your medical trip to Korea. I'm here to help you make informed decisions!

Hi! I'm your personal assistant for Korean plastic surgery. Ask me anything about procedures, top clinics in Gangnam, pricing, recovery times, or how to plan your medical trip to Korea. I'm here to help you make informed decisions!
Visitor
Chat Preferences
Language
Notifications
v1.0.0